EJCAP 25(2), Summer 2015

Monique Megens - President of FECAVA

There were many world-changing events 25 years ago. Nelson Mandela was liberated, East and West Germany were reunited, the first Mac Donald’s opened in Moscow and J. K. Rowling got the idea for Harry Potter. It was also the year that FECAVA was founded. Since then, a lot has happened. FECAVA now successfully runs CE projects in emerging countries as well as a yearly congress, is involved in nurse education and has its very own journal (the one you’re reading), which went online in 2012. It also has many active working groups: the posters on the prudent use of antimicrobials by the FECAVA hygiene working have been translated in many languages, including requests from India, China and Japan.
We have also come to represent the European companion animal practitioner and work closely together with the Federation of Veterinarians of Europe, the Union of European Veterinary Practitioners and our global sister organisation, the WSAVA. We are a growing family, and welcomed our 40th member Armenia this April.
Because, ultimately FECAVA is us, European companion animal veterinarians. Together, we are stronger, more efficient and have more fun! To quote Didier Carlotti, founding father and first president of FECAVA “there is a need for companion animal associations to work together in Europe”.

Enjoy this EJCAP!

Pictograms
reset filter
The companion animal multisectorial interprofessional and interdisciplinary strategic think tank on zoonoses (CALLISTO) project studied infectious diseases transmitted between companion animals, man...
Objective: To evaluate curettage and diathermy as a treatment for actinic dysplasia and superficial squamous cell carcinoma of the feline nasal planum.
Portable blood glucose meters (PBGMs) are small electronic devices that measure the concentration of glucose in whole blood. Due to the technological advances, the measurement of glucose...
Objectives: To assess the prevalence of gastrointestinal toxicity in dogs receiving chemotherapy with vincristine and cyclophosphamide and the efficacy of maropitant citrate (CereniaTM, Zoetis) in...
This review deals with indications for performing haemostasis tests, methodical aspects of blood sampling and handling of sample material, selection of appropriate tests and basic principles of test...
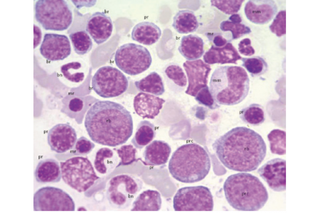
In companion animal medicine, bone marrow (BM) aspiration cytology is a cost-effective diagnostic tool, which provides excellent morphological detail of cells and infectious agents.
EJCAP 25(2), Summer 2015
FECAVA News
The 'veterinary vision on stray dog management' was adopted jointly by FECAVA, the Union of European Veterinary Practitioners (UEVP) and the Federation of Veterinarians...
Dr Vahan Khachatryan of the Armenian Small Animal Veterinary Association presented an application for full membership at the FECAVA Council and was accepted unanimously,...
In April, FECAVA held its Council meeting and celebrated a quarter century in the presence of a large number of past presidents, past board members and past directors in...
Global & European news
Veterinarians of Costa Rica were this year’s winner of the World Veterinary Day award.
On 17 May, at the start of its 2015 World Congress the World Small Animal Veterinary Association (WSAVA) called on its member associations to focus on ending animal...
Book reviews
You don’t have to work in Emergency and Critical Care to know how small the difference between life and death in small animal practice can be.
The book comprises 11 chapters covering a range of topics in paediatric medicine, an area that I feel is less consistently covered in the veterinary literature.
This is the book that any clinician that has interest in veterinary diagnostic imaging should have and probably has one copy of the previous editions.
App review
Endoscopy in Dogs is an interactive tutorial for the use of an endoscope and specifically for endoscopy of the digestive tract in canine patients.
Small Animal Fracture Management offers treatment options and assessment for a range of common small animal fractures, based on Fossum’s Textbook of Small Animal...
Dog CPR is a first-aid tutorial for canine cardiopulmonary resuscitation (CPR) of the dog, covering basic life saving techniques, as well as advanced CPR techniques such...
How to...
This section features audio recordings of two BSAVA 2015 congress lectures, on the management of acute CHF and on how to perform peridcardiocentesis, by Chris Linney.
This section features audio recordings of two BSAVA 2015 congress lectures, on the management of acute CHF and on how to perform peridcardiocentesis, by Chris Linney.
Coming up
Endocrine hypertension, increased vocalisation, chronic kidney disease, osteoarthritis - this year's special issue focuses on geriatric diseases in cats.